DOCTEUR CURNIER ORTHODONTISTE SPÉCIALISTE
DOCTEUR CURNIER ORTHODONTISTE SPÉCIALISTE

21 avenue des sports 01210 FERNEY VOLTAIRE
 

+33 4 50 40 74 74
 

ENFANTS

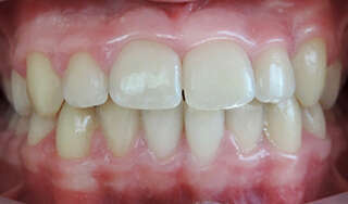
Avant
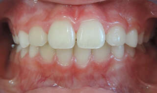
Après
Avant
Après

Création par Webdentiste

Connexion