ORTHODONTIE PAR ALIGNEURS
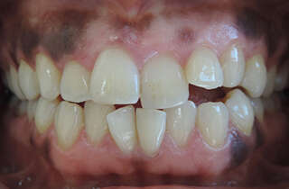
Avant
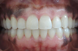
Après
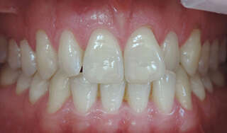
Avant
Après
21 avenue des sports
01210
FERNEY VOLTAIRE
Vidéo en cours de lecture
