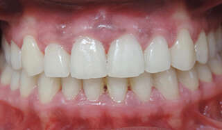
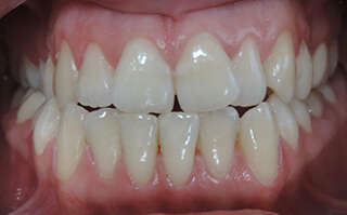
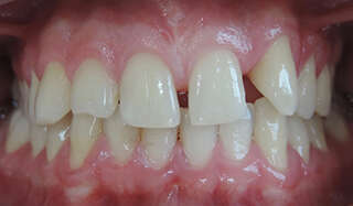
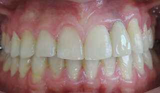
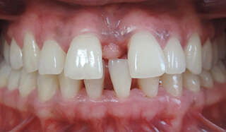
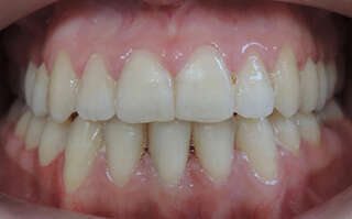
ADULTES
Voir les autres cas cliniques du Dr Laure Curnier :
Voir les autres cas cliniques du Dr Laure Curnier :
21 avenue des sports
01210
FERNEY VOLTAIRE
Vidéo en cours de lecture
